Metamorfozy
Zdjęcia mają charakter demonstracyjny. Zaprezentowane efekty leczenia wystąpiły u tego konkretnego pacjenta, a wyniki leczenia mogą się różnić w zależności od indywidualnych cech, schorzeń pacjenta.
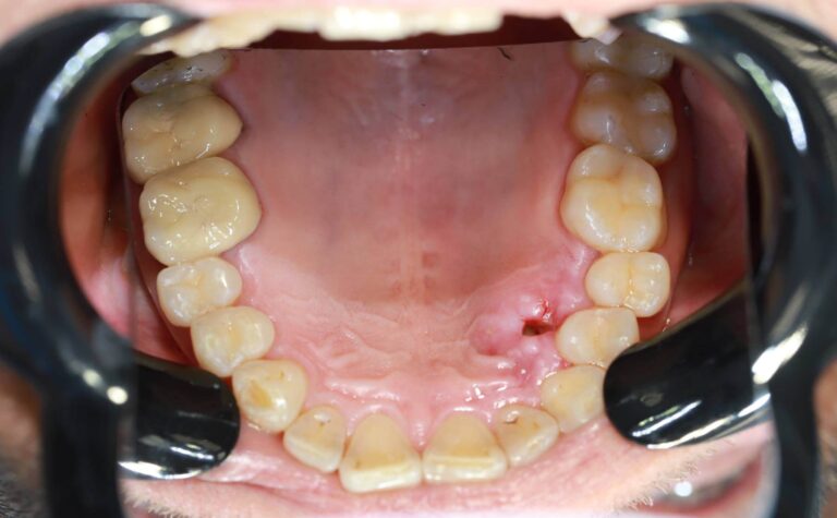
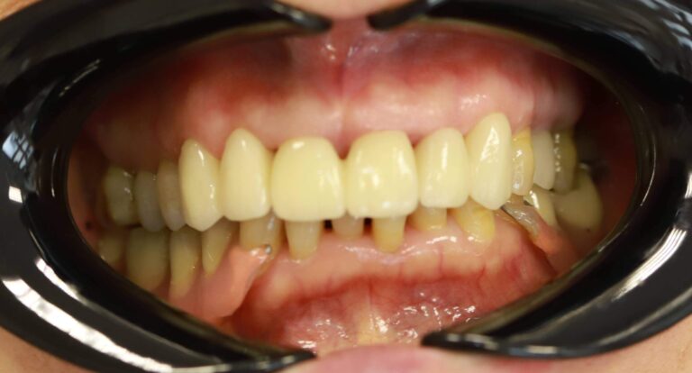
Protetyka
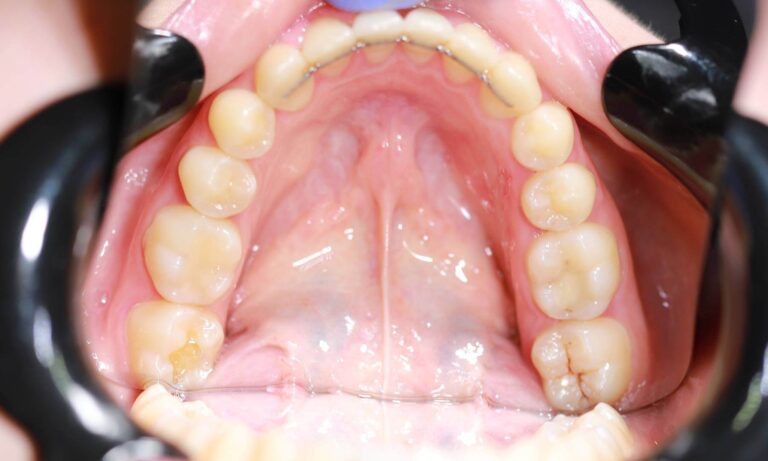
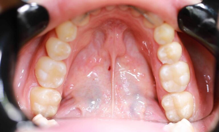
Metamorfoza
Kliknij, by odsłonić zdjęcie

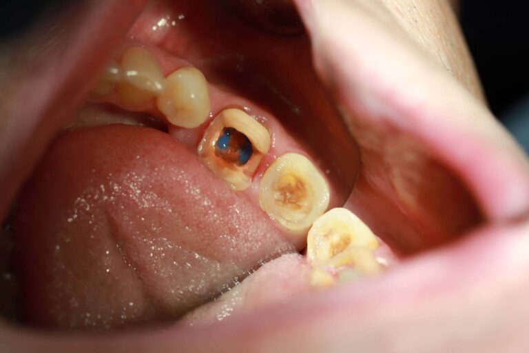
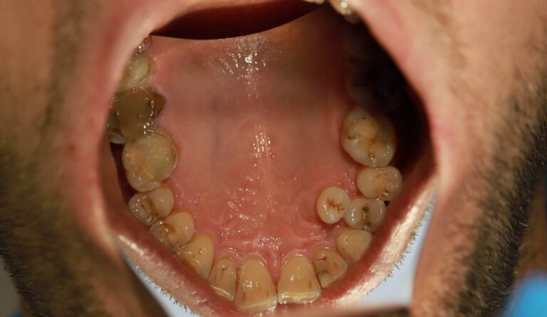
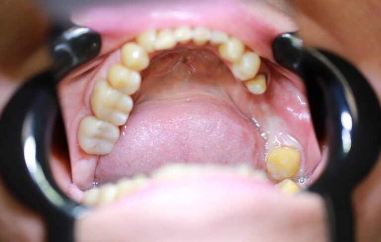
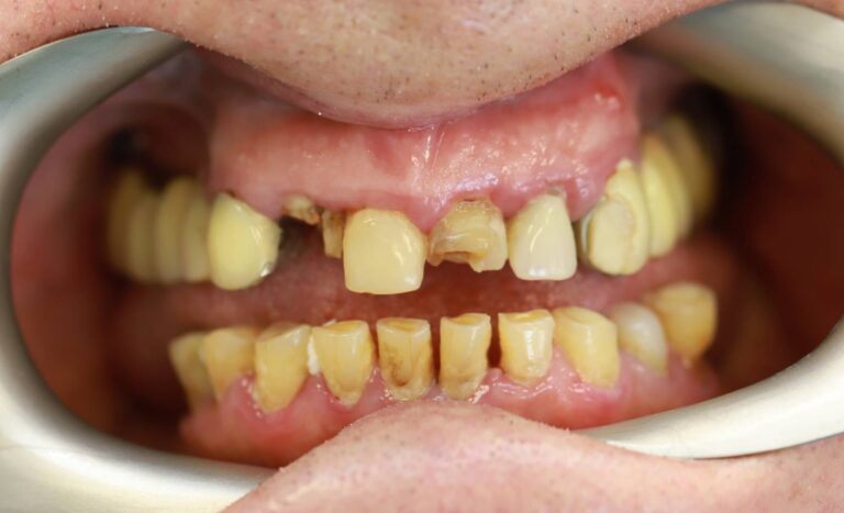
Przed leczeniem

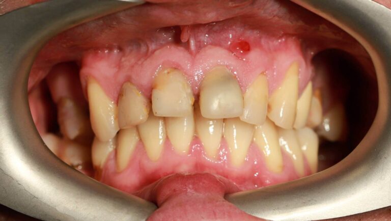
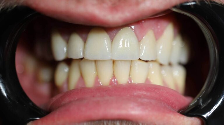
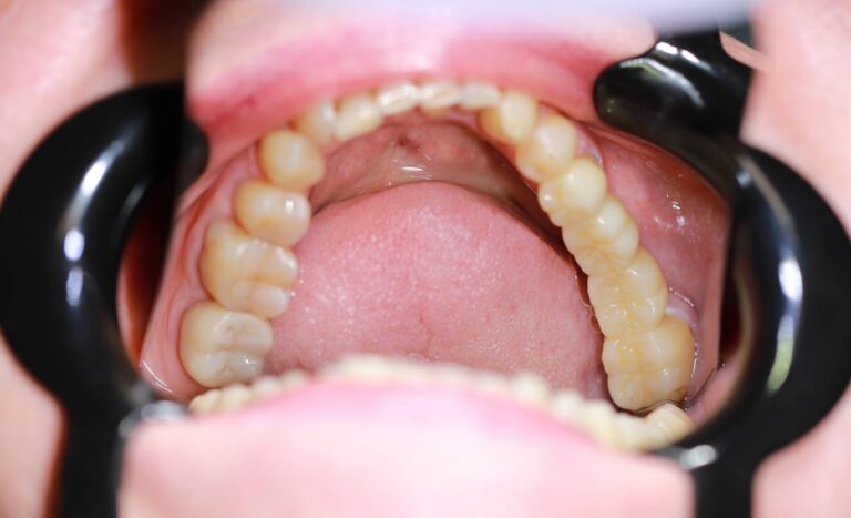
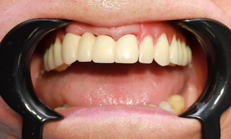
Po leczeniu
Endokorona 1
Kliknij, by odsłonić zdjęcie

Przed leczeniem

Po leczeniu
Endokorona 2
Kliknij, by odsłonić zdjęcie

Przed leczeniem

Po leczeniu
Endokorona 3
Kliknij, by odsłonić zdjęcie

Przed leczeniem

Po leczeniu
Kompleksowe leczenie wszystkich zębów
Kliknij, by odsłonić zdjęcie

Przed leczeniem

Po leczeniu
Komplesowe leczenia pacjenta z hiperdoncją
Kliknij, by odsłonić zdjęcie

Przed leczeniem

Po leczeniu
Leczenie paradontozy + korony
Kliknij, by odsłonić zdjęcie

Przed leczeniem

Po leczeniu
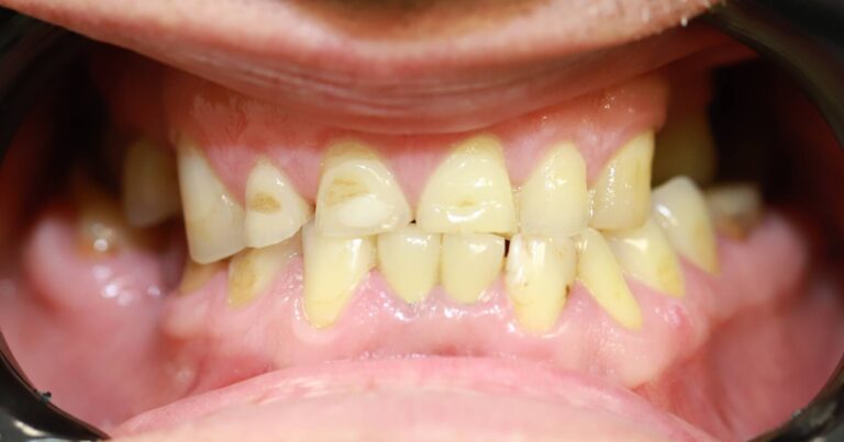
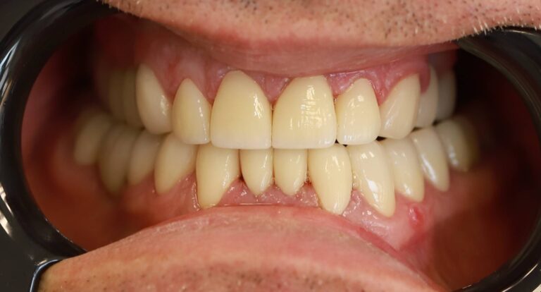
Metmorfoza uśmiechu 2
Kliknij, by odsłonić zdjęcie

Przed leczeniem

Po leczeniu
Metamorfoza uśmiechu
Kliknij, by odsłonić zdjęcie

Przed leczeniem

Po leczeniu
Most protetyczny
Kliknij, by odsłonić zdjęcie

Przed leczeniem

Po leczeniu
Proteza na zasuwach
Kliknij, by odsłonić zdjęcie

Przed leczeniem

Po leczeniu
Proteza oparta na teleskopach
Kliknij, by odsłonić zdjęcie

Przed leczeniem

Po leczeniu
Stomatologia zachowawcza
Leczenie próchnicy
Kliknij, by odsłonić zdjęcie

Przed leczeniem

Po leczeniu

